Invisalign
- ⭐ 5/5-stjerners anmeldelser – pasientenes førstevalg
- Laveste pris i Kolbotn og Follo – kvalitet for alle budsjetter
- Kveldsåpent – behandling på dine premisser
- Pionerer på korttidstannregulering – erfaring siden 2012
- Komfort i #TannSpa-omgivelser – en rolig behandlingsopplevelse
Hva våre kunder sier om oss
Laveste tannlegepriser på Kolbotn
Bedøvelse
Mandag
08:00 – 16:00
Tirsdag
08:00 – 18:00
Onsdag
08:00 – 18:00
Torsdag
08:00 – 16:00
Fredag
08:00 – 15:00
Invisalign – Usynlig tannregulering for et perfekt smil
Drømmer du om rette tenner uten klumpete og synlige reguleringsapparater? Da er Invisalign løsningen for deg! Invisalign er et av de mest kjente systemene for tannregulering i dag – og det med god grunn. Gjennom gjennomsiktige og nesten usynlige plastskinner flytter vi tennene dine skånsomt og effektivt til ønsket posisjon.
Invisalign har raskt blitt verdensledende innen korttidstannregulering, takket være et innovativt system som er like brukervennlig for deg som pasient som det er for oss som tannleger. Med Invisalign får du ikke bare et nytt smil, men også friheten til å regulere tennene dine på en diskré og fleksibel måte.
Ta det første steget mot et perfekt smil i dag – bestill en konsultasjon nå!
Tannlege Anna forklarer Invisalign | Kolbotn Tannklinikk – usynlig tannregulering i Kolbotn og Follo
Video med tannlege Anna ved Kolbotn Tannklinikk. Hun forklarer hvordan Invisalign fungerer og hvordan usynlige skinner gir trygge og estetiske resultater – for pasienter i Kolbotn, Vinterbro, Oppegård, Sofiemyr, Holmlia, Nordstrand og Myrvoll.
Tannlege Uzma om Invisalign | Kolbotn Tannklinikk – moderne usynlig regulering i Kolbotn, Oppegård og Follo
Video med tannlege Uzma ved Kolbotn Tannklinikk som forklarer fordeler, bruksområder og behandlingsforløp med Invisalign. Rettet mot pasienter i Kolbotn, Follo, Vinterbro, Greverud, Nordstrand og Hauketo.
Kort oppsummert
Invisalign – Rask, diskret og effektiv tannregulering med skreddersydd resultat | Kolbotn Tannklinikk
- Invisalign er en moderne korttidstannregulering med gjennomsiktige plastskinner
- Passer best for små til middels skjevheter i fortenner, hjørnetenner og småjeksler
- Systemet er raskt og enkelt, med avtakbare, lite synlige skinner som byttes ukentlig eller annenhver uke
- Behandlingstiden er ofte opptil 6 måneder, avhengig av kompleksitet
- Oppfølging underveis er nødvendig, med jevnlige kontrolltimer
- Etter behandling stabiliseres tennene med retainertråd og eventuelt en nattskinne (Vivera) for å forhindre tilbakefall
- Ved behov kan estetiske justeringer utføres etter endt behandling for å oppnå et enda penere smil
Invisalign
Invisalign gjennomsiktig tannregulering – Komplett guide til rette tenner
Invisalign er en metode innenfor korttidstannregulering der målet er å flytte på tenner slik at en bedre tannposisjons oppnås. Det kan være flere grunner til dette, alt fra estetiske, hygieniske og funksjonelle.
Bildet viser før og etter behandling med Invisalign.
Bruksområde, fordeler, ulemper og utfordringer
Bruksområder for Invisalign – Når er løsningen optimal?
Invisalign er en type usynlig tannregulering som brukes til å rette opp tannstilling på en diskré og komfortabel måte. Behandlingen passer for både voksne og ungdom, og bruksområdene inkluderer korrigering av skjeve tenner, mellomrom, trangstilling, overbitt, underbitt og kryssbitt.
Invisalign består av gjennomsiktige, avtakbare skinner som tilpasses individuelt og byttes ut jevnlig for gradvis å flytte tennene til ønsket posisjon.
Behandlingen er spesielt godt egnet for pasienter som ønsker en estetisk løsning uten synlige metallklosser og som ønsker fleksibilitet til å ta ut reguleringen ved spising og tannpuss.
Fordeler og ulemper med Invisalign: Er det riktig for deg?
Som ethvert system innenfor korttidstannregulering, vil Invisalign ha noen fordeler, ulemper og utfordringer. Nedenfor gir vi en kort innføring i disse.
Fordeler med Invisalign – Få et vakkert smil uten synlig regulering
Rask behandlingstid og enkel bruk med Invisalign
Invisalign hos oss er et enkelt og raskt system. Som pasient får du utlevert noen skinner som de tar med seg hjem og bytter hver 1 – 2 uker. Utenom en kontrolltime i ny og ne, er det lite som kreves for å gjennomføre behandling med Invisalign.
Avanserte tannbevegelser med presise plastskinner
Avanserte plastklosser bidrar til effektiviteten ved skinnene og bevegelsene. Disse gir store muligheter til å bevege tenner i forskjellig retning.
Diskret og komfortabel tannregulering
Siden skinnene er laget av klar plast og er svært tynne, blir de også veldig lite synlige i munnen. Ettersom skinnene også byttes ut regelmessig, rekker heller ikke skinnene å bli misfarget.
Ulemper og begrensninger ved Invisalign – Hva bør du vite?
Mindre presisjon i bevegelser: Ulemper ved Invisalign tannregulering
En av ulempene med korttidstannregulering er at de vil være mindre presise enn ordinær tannregulering. For de fleste vil det ha lite betydning, da forskjellene dette utgjør er nede på detaljnivå. De aller fleste er opptatt av et fint smil uten å legge mye i små detaljer, men for den som er veldig pirkete kan det hende at det vil være nødvendig med noen korrigeringer etterpå.
Misfarging av skinner – Hvordan unngå det
Dersom det blir behov for å bruke en skinne i lang tid, kan det oppstå misfarging ved skinnene. Skinnene er ment å brukes 23 timer i døgnet hver dag, i 1 – 2 uker. Hvis bruken blir mindre vil det være behov for å bruke skinnene lengre, og da vil det kunne opptå misfarging fra mat og drikke.
Dette gjelder spesielt dersom man spiser med skinnen på, noe som ikke anbefales.
Funksjonelle plastknapper – Slik hjelper de tannbevegelsen
For at Invisalign skinner skal kunne flytte på tennene festes knapper/klosser på tennene i tannfarget plastmateriale. Med hjelp av disse får skinnene bedre tak i tennene som skal flyttes og kan flytte disse i forskjellig retning. Disse klossene kan kjennes noe klumpete og forstyrrende når skinnene ikke brukes.
Når Invisalign ikke er tilstrekkelig – Andre løsninger
I de tilfeller der det er store skjevheter i hele tannstillingen, og bittet er ujevnt, kan forholdene bli for krevende til å kunne ha en Invisalign. Det er begrensninger på hvilke krefter de tynne plastskinnene kan utøve, og i slike tilfeller vil det være behov for ordinær tannregulering eller 6 month smile.
Utfordringer og tilvenning ved Invisalign-behandling
Regelmessig kontroll og oppfølging: Viktigheten av Invisalign-timer
Invisalign behandling innebærer å ha kontrolltimer underveis, der forhold tilrettelegges til de neste skinnene, som også blir utlevert ved samme time. For å sørge for en god utvikling med Invisalign er det som regel nødvendig å måtte komme inn til kontroll én gang i måneden.
Mindre småspising og sunnere vaner med Invisalign
Invisalign skinner er ikke beregnet til å spise med. Det anbefales å ta disse ut ved inntak av mat og senere skylle munnen/pusse tennene før skinnen plasseres tilbake i munnen. Dette tiltaket kan mange oppleve som hindring i å småspise mellom måltidene, noe som egentlig er en fordel for tennene.
Ømhet i starten – Vanlig ved all tannregulering
Når du starter på behandling med Invisalign vil du kunne oppleve ømhet og ubehag,som er vanlig ved all regulering. For noen kan dette stadiet også oppleves som vondt. Dette skyldes igangsettelse av bevegelse ved tennene. På lik linje vil man kunne oppleve tilsvarende smerter, men i mindre grad, ved bytte av skinne.
Hvordan fungerer Invisalign? – Slik flyttes tennene skånsomt
behandling ved Kolbotn Tannklinikk består av flere gjennomsiktig skinner som skal brukes i en bestemt rekkefølge for å flytte på tennene mot ønsket posisjon. For å hjelpe forflytningen av tenner, settes det noen plastklosser på tennene, i samme farge som tennene. Dette gir skinnen bedre tak i tennene og tillater skinnen å foreta forskjellige bevegelser og samtidig forskynde behandlingen.
Prøv selv
Last ned Invisalign Smileview app på App store eller Google Play, ta et bilde og se selv hvordan resultatene kan bli:
App store:
https://apps.apple.com/us/app/my-invisalign/id1325633853?ls=1
Google Play:
https://play.google.com/store/apps/details?id=com.aligntech.myinvisalign&pli=1
Invisalign vs. andre alternativer: Hvilken tannregulering bør du velge?
Alle systemer innenfor korttidstannregulering vil ha sine fordeler og ulemper. Her ønsker vi å gi deg en kort oversikt over hvordan invisalign er i forhold til de andre systemene som er tilbudt på markedet, og som vi tilbyr.
Invisalign vs. Inman Aligner – Rask sammenligning
Inman Aligner er en avtagbar løsning som benyttes til å regulere hovedsakelig de seks midterste tenner, det vil si mellom hjørnetann til hjørnetann. Dette skjer ved å bruke en skinneapparatur som har to bøyler tilknyttet fjær. Bøylene skyver tennene til riktig plass og metoden tar som regel 2-4 måneder. Les mer om Inman Aligner.
Invisalign vs. 6 Month Smiles – Hva passer best for deg?
6 month smile er som den klassiske tannreguleringen, men delene er tannfarget slik at tannreguleringen blir mindre synlig. 6 month smile sitter fast og kan ikke tas av. Dette er en metode som egner seg til mer avanserte tilfeller. Spesielt der det vil være behov for store forflytninger av tennene, eller der det vil være nødvendig å flytte de store jekslene, vil 6 month være et godt alternativ. Les mer om 6 Month Smiles.
Smerte og ubehag
Smerte og ubehag ved Invisalign – Realistiske forventninger
Ved invisalign behandling vil man kunne oppleve perioder med smerte og ømhet i tennene. Dette vil spesielt forekomme de første 1-3 ukene da tennene er i gang med å bevege på seg. . Senere vil det kunne forekomme i mye mindre grad i 1-2 dager ved bytte av skinne. Noen ganger vil mellomrom mellom tenner måtte skapes for å hjelpe tannforflytning. Dette kan være ubehagelig i noen sekunder mens det pågår.
Behandlingstid og -forløp
Behandlingstid og prosess for Invisalign: Alt du trenger å vite
Behandlingstid med Invisalign – Faktorer som påvirker varigheten
Ethvert tilfelle er unikt og derfor vil det være vanskelig å forutsi hvor lang tid en invisalign behandling vil ta. Behandlingstiden vil være avhengig av vanskelighetsgrad (antall tenner som skal flyttes, hvor langt de skal flyttes og plassen de skal flyttes til), bittet og mengden skinnene brukes. Ved vurdering sammen med teknikker, vil behandlingstiden kunne anslås på forhånd.
Steg-for-steg: Behandlingsforløpet fra konsultasjon til ferdig smil
- Kartlegging av forhold – fotobilder og avtrykk
- Presentasjon av behandling. Samtykke til behandling
- Tilrettelegge og igangsette behandling
- Oppfølging av behandling
- Avslutte behandling
- Eventuell etterbehandling avtales
Ved første time kartlegges og utelukkes enkelte tannsykdommer. I tillegg skal dine ønsker som pasient også tas til følge samtidig som tenner og bittforhold skal vurderes. Det vil bli tatt fotobilder og avtrykk av både deg, dine tenner og bittforhold. Disse sendes til tanntekniker, som vurderer forholdene og legger opp et behandlingsforslag i samråd med tannlegen.
Så snart et behandlingsforslag er klargjort, blir et konsultasjonsmøte satt opp med der behandlingsforslaget gjennomgås. Dersom du som pasient ønsker å igangsette behandlingen, bestilles denne av invisalign.
Under Første behandlingstime vil det bli tilrettelagt for de riktige forholdene som er nødvendig for å begynne med Invisalign. Deretter vil de første skinnene bli utleveret og du vil få instrukser i bruk og rengjøring av tannreguleringen.
Kontrolltimer settes opp fortløpende frem til ønsket resultat er oppnådd. Når dette skjer avsluttes behandlingen og eventuell etterbehandling avtales sammen med tannlegen.
Oppfølging og etterkontroll
Oppfølging etter Invisalign – Slik bevarer du resultatet
Etter gjennomført behandling med Invisalign vil det være behov for å forankre tennene i sin nye tannposisjon. Tenner er alltid i bevegelse og det er alltid en fare for at tenner kan flytte på seg. For å forhindre dette må tenne holdes fast i sin stilling. Dette gjøresved å lime fast tennene med en streng bak tennene (retainertråd). Ofte vil det være nødvendig å bruke en nattskinne også (Vivera retainerskinne).
For å kunne ende opp med et enda penere smil, er det ikke uvanlig at flere også ønsker å endre noe på fasongen ved enkelte tenner etter endt behandling, Det finnes flere alternativer til slike endringer og valget vil være avhengig av bittforhold, grad av endring og hvordan du ønsker at det skal se ut. Ofte vil valget stå mellom estetisk tannfarget fylling og fasett.
Retainertråd – Diskret forankring for varig tannstilling
Retainertråd er en metallstreng som festes bakpå tennene fra hjørnetann til hjørnetann. Formålet er å forhindre bevegelse av tennene. Når tennene er på riktig plass gjennomføres eventuelle justeringer for så å bestille en retainertråd av tanntekniker. Retainertråd festes til tennene med tannfarget fyllingsmateriale, og er ikke synlig fra utsiden. Retainertråden vil kunne føles rar og uvant i starten, men dette vil gi seg etterhvert som kroppen tilvenner seg tråden. Les mer om retainertråd.
Bildet viser overkjeve fortenner før og etter montering av en retainertråd.
Vivera retainerskinne – Ekstra beskyttelse mot tannforskyvning
Vivera retainerskinne er en gjennomsiktig plastskinne som det anbefales å bruke i tillegg til retainertråd. Mens retainertråd sikrer plassen til de fremste tennene, vil Vivera retainerskinne i tillegg sikre plassen til de små og store jeksler, slik at de ikke flytter på seg. Vivera retainerskinner bør anses som forbruksvare og det bør påregnes at disse må byttes på i ny og ne da de blir slitt med bruk. Les mer om Vivera retainerskinne.
Estetiske justeringer etter Invisalign – Fyllinger, fasetter og kroner
Når tennene kommer på riktig plass er det ikke uvanlig at det er ønskelig å korrigere og justere på disse for å oppnå et enda penere smil. Ofte vil tennene ha blitt slitt i sin gamle posisjon, og med den nye posisjonen blir slitasjen synlig på en annen måte. I de fleste tilfeller kan man med tannfargete og fyllinger enkelt justere på tennene slik at du kan få et enda penere smil. Mange opplever at dette holder, men i noen forhold vil det kunne være penere med å bruke andre løsninger slik som fasetter og krone. Denne vurderingen tas sammen med tannlegen etter at invisalign behandlingen er ferdig og før retainertråd og vivera skinner bestilles. Les mer om estetisk og kosmetisk behandling.
Slik utfører vi Invisalign hos Kolbotn Tannklinikk
Hos Kolbotn Tannklinikk har vi over 12 års erfaring med Invisalign og tilpasser alltid behandlingen til dine individuelle behov. Før vi starter, gjennomfører vi en grundig undersøkelse med foto, avtrykk eller digital skanning, og utarbeider en skreddersydd behandlingsplan i samarbeid med Invisalign-teknikere. Underveis får du tett oppfølging med kontroller og utlevering av nye skinner, samtidig som vi tilpasser prosessen etter dine ønsker og livsstil. Hele behandlingen skjer i trygge rammer, med tydelig informasjon og god kommunikasjon, slik at du alltid vet hva som skjer. Vårt mål er at du skal få et vakkert, stabilt smil – på en behagelig og forutsigbar måte.
TEKSTFORFATTER
Tannlege Jasdeep Ohri
Har du noen spørsmål om temaet? Trykk her for å sende en epost til tekstforfatteren.
Innholdsfortegnelse
- Invisalign
- Bruksområde, fordeler, ulemper og utfordringer
- Behandling
- Smerte og ubehag
- Behandlingstid og -forløp
- Oppfølging og etterkontroll
- Slik utfører vi Invisalign hos Kolbotn Tannklinikk
- Tannlegeskrekk – og hvorfor Invisalign kan være et trygt første steg
- Tannleger som tilbyr Invisalign i Kolbotn og Follo
- Hvorfor velge oss for Invisalign-behandling i Kolbotn og Follo?
- Invisalign-priser – Rimelige og fleksible betalingsalternativer
- Før- og etterbilder av Invisalign
- Hvorfor velge Kolbotn Tannklinikk for Invisalign
- Relaterte behandlinger
- Ofte stilte spørsmål om Invisalign-behandling
- Mer informasjon om Invisalign
- Informasjonskilder
Bestill time
"*" obligatorisk felt
Tannlegeskrekk – og hvorfor Invisalign kan være et trygt første steg
Mange som har tannlegeskrekk forbinder tannbehandling med ubehag og smerte, og utsetter derfor ønsket om rettere tenner.
Hos Kolbotn Tannklinikk vet vi at nøkkelen til en god opplevelse ligger i trygghet, forutsigbarhet og skånsom behandling. Invisalign er en enkel og lite invasiv metode, der du får skinnene utlevert og bruker dem hjemme – uten hyppige eller lange inngrep i tannlegestolen. Kontrolltimene er korte, og vi tar oss alltid tid til å forklare, svare på spørsmål og tilpasse prosessen etter ditt tempo.
For mange blir Invisalign starten på et nytt smil – og et stort skritt mot å overvinne tannlegeskrekken.
Les mer om tannlegeskrekk.
Tannleger som tilbyr Invisalign i Kolbotn og Follo
- Lavest pris
- Tilbyr all generell tannbehandling
- Lavest pris
- Tilbyr all generell tannbehandling
- 22år + i erfaring
- Høyere prisklasse
- Tilbyr all generell tannbehandling
- Spisskompetanse:
- Estetisk tannbehandling
- Slitasje- og syreskader
- Tannimplantatbehandling
Les mer om våre tannleger
Junior- og seniortannleger: Hvem passer for din behandling?
Junior tannlege er våre tannleger som har mindre enn 12 år med erfaring. Disse tannlegene vil ofte være bedre oppdatert faglig, på et generelt grunnlag, og kunne utføre de fleste behandlinger innen rimelig tid.
Våre seniortannleger har mer enn 12 år i erfaring og jobber både raskere og mer effektiv. Disse tannlegene har lang erfaring og er ofte mer kompetent til å kunne håndtere kompliserte problemstillinger og behandlinger. Det er ikke uvanlig at en seniortannlege over årene utvikler større interesse, mer erfaring og derav bedre kompetanse innenfor enkelte type behandlinger fremfor andre.
Junior tannlege Anna Haugen: Din dedikerte Invisalign-spesialist
Tannlege Anna Haugen er vår nyeste tannlege. Hun tok sin utdanning i Polen og har allerede i en alder av 26 år oppnådd mye innenfor faget. Som tannlege er Anna både målrettet, strukturert, dedikert og ambisiøs. På fritiden er hun svært familieorientert og verdsetter tid med familien, samt liker å holde seg aktiv på treningssenteret. Vi er sikre på hennes lidenskap for yrket og varme personlighet vil gjøre henne til et verdifullt tillegg til teamet vårt.
Junior tannlege Uzma Shabir: Rolig og estetisk ekspertise
Uzma er også blant våre nye tannleger. Uzma tok sin tannlegeutdanning ved Universitet i Oslo og begynte hos oss i 2023. Som tannlege oppleves Uzma som rolig og behagelig i sin opptreden, noe som gjør at pasienter føler seg godt ivaretatt. Uzma har et øye for estetikk og liker å jobbe med estetisk tannbehandling i tillegg til ordinær tannbehandling. På fritiden er Uzma opptatt av mote, sosialt samvær og nye opplevelser.
Senior tannlege Jasdeep Ohri: Erfaren og behagelig behandling
Jasdeep er vår mest erfarne og anerkjente tannlege. Jasdeep gjennomførte sine grunnleggende tannlegestudier i Oslo men i senere tid reist mye til USA for å øke sin faglige kompetanse. Jasdeep er blitt sitert som en av de beste tannlegene i Norge, noe som skyldes hans evne til å integrere ny og innovativ teknologi i sitt arbeid samtidig som han klarer å vise pasienter den omsorg og trygghet de trenger.
Les mer om våre tannleger på Kolbotn.
Hvorfor velge oss for Invisalign-behandling i Kolbotn og Follo?
Invisalign-priser – Rimelige og fleksible betalingsalternativer
Pris på Invisalign vil variere ut ifra behandlingsbehov (skadeomfang/vanskelighetsgrad), behandlerkompetanse (kunnskap/erfaring) og tidsbruk. I tillegg kan det være behov for forberedende behandling og andre tiltak som vil koste ekstra, eksempelvis forundersøkelse/kartlegging, røntgenbilde, fotobilder, etterkontroll/oppfølging og mer.
- Hygienetillegg, per seanse – fra 195kr
- Enkel konsultasjon, opptil 10 minutter – fra 0kr
- Konsultasjon med forundersøkelse og evt. bestilling – fra 1419kr
- Invisalign, 1 kjeve, produsert i USA – fra 24427kr
- Retainertråd, inkludert tannteknikerandel, produsert på Lillestrøm/England – fra 2755kr
- Retainerskinne/Viveraskinne, inkludert tannteknikerandel, produsert i Norge/USA – fra 5555kr
Prisene over er ved behandling hos vår junior tannlege. Våre junior tannleger vil kunne tilby deg den rimeligste prisen, men behandling vil kunne ta lengre tid. En senior tannlege har mer erfaring, bruker mindre tid og koster mer. Se vår prisliste.
Studentabatt
I tillegg tilbyr vi 15% studentrabatt.
Økonomisk hjelp
Helfo støtte
Ved enkelte diagnoser vil Helfo dekker deler av behandlingen og prisen derfor reduseres. For mer informasjon besøk Helfo.
Delbetalingsordning
Vi tilbyr delbetaling via Resursbank. Les mer om Resursbank.
Vår prisliste
For mer informasjon om våre priser, se vår prisliste.
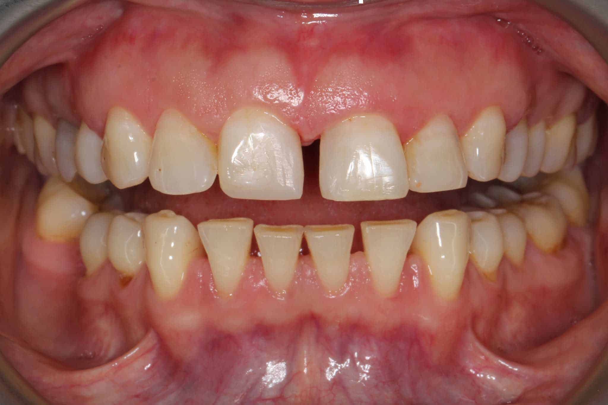
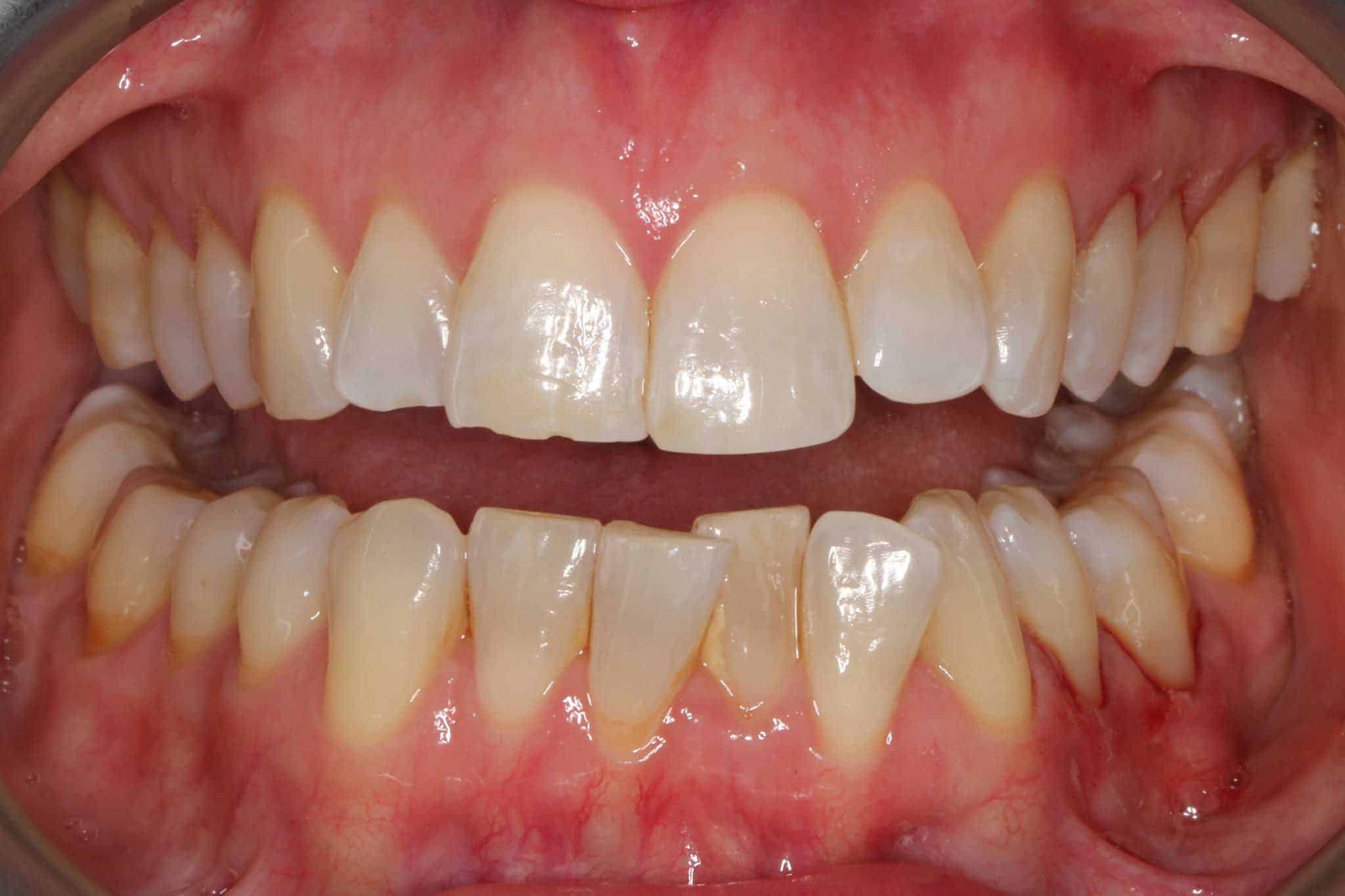
Før- og etterbilder av Invisalign – Se fantastiske resultater

Bildet viser overkjeve fortenner behandlet med Invisalign og senere oppbygget med fylling.

Bildet viser tannsett regulert med Invisalign, og senere oppbygget med fylling.

Bildet viser overkjeve fortenner behandlet med Invisalign og senere fylling.
Flere bilder
Hvorfor velge Kolbotn Tannklinikk for Invisalign
⭐ 5/5-stjerners anmeldelser – pasientenes førstevalg
Over 415 pasienter har gitt oss toppscore på Google, Facebook og Legelisten. Vi får spesielt skryt for trygge, estetiske og presise Invisalign-resultater som lever opp til forventningene.
Laveste pris i Kolbotn og Follo – toppkvalitet for alle budsjetter
Vi tilbyr markedets laveste priser på Invisalign, med gratis konsultasjon og 15 % studentrabatt. Du kan velge mellom junior- eller seniortannlege, avhengig av budsjett og tidsramme.
Kveldsåpent – behandling på dine premisser
Vi holder åpent til kl. 19 flere dager i uken, slik at du kan starte og følge opp behandlingen uten å måtte ta fri fra jobb eller endre hverdagen.
Pionerer på korttidstannregulering – erfaring siden 2012
Vi har over 12 års erfaring med korttidstannregulering og tilbyr tre ulike systemer – Invisalign, Inman Aligner og 6 Month Smiles – for å sikre at du får den løsningen som passer best til dine tenner og mål.
Komfort i #TannSpa-omgivelser – en rolig behandlingsopplevelse
Vi har skapt en atmosfære som gir ro og velvære gjennom hele behandlingsløpet, med et fokus på både estetikk og pasientkomfort.
Velg mellom 3 forskjellige systemer
Allerede i 2012 begynte klinikken å tilby korttidsregulering og har jobbet aktivt med dette i alle år. Vi tilbyr i dag flere forskjellige systemer som sammen dekker et stort tilbud innenfor korttidstannregulering. Alle systemer har sine fortrinn og ulemper. Sammen skal vi klare å finne det systemet som passer deg og dine tenner best.
Tannspa i Kolbotn: Behagelige omgivelser for Invisalign-behandling
Korttidstannregulering tar lang tid og innebærer flere besøk. Da synes vi det er ekstra greit at omgivelsene oppleves som komfortable. Det er ikke uten grunn at Kolbotn Tannklinikk har fått sin hashtag – #tannspa. Vi har nemlig jobbet med det lille ekstra for at du får en behageligere opplevelse fra øyeblikket du kommer til oss, og til du forlater oss.
Relaterte behandlinger – Utforsk flere estetiske alternativer
Ofte stilte spørsmål om Invisalign-behandling
Hvor mye koster Invisalign behandling
Se informasjonsside om Invisalign eller vår prisliste for oppdaterte priser.
Hvor lang tid tar behandling med Invisalign og hvor mange besøk er nødvendig?
Behandlingstid med Invisalign vil variere ut i fra kompleksitet ved behandling, egeninnsats og behov for etterkorrigeringer. Behandlingsforløpet kan kategoriseres slik
- Førstegangsvurdering
- Gjennomgang av estimert resultat og behandlingstid. Bestilling av behandling.
- Igangsettelse av behandling. Utlevering av de første skinner
- Etterkontrolltimer. Antall etterkontroller vil variere og vil være estimert ved bestilling.
- Ved avslutning av behandling vil videre forløp avtales
- Nye timer til retainertråd, vivera retainerskinne og estetiske korrigeringer skjer etter avtale.
Gjør Invisalign behandling vondt
Det er ikke uvanlig å kjenne ømhet eller smerte i 1-2 uker når behandlingen igangsettes. Dette vil også være vanlig i 1-2 dager etter bytte av skinner. Utenom dette er det ingen ubehag eller smerte forbundet med behandlingen.
Hva er ulempene med Invisalign?
En av de største ulempene med Invisalign er at du må være disiplinert og motivert for å bruke skinnene akkurat slik tannlegen har anbefalt. I tillegg kan du måtte endre noen vaner, for eksempel å kutte ned på småspising eller det å stadig drikke noe gjennom dagen.
Hva er best for deg – Invisalign eller regulering?
Det kommer an på hva du trenger. Hvis du har små eller moderate skjevheter i tennene og ønsker en nesten usynlig løsning, kan Invisalign være et bedre valg. Det er også mer behagelig enn regulering. Men hvis du har større tannstillingsproblemer eller vil ha en rimeligere løsning, kan vanlig regulering være et bedre alternativ.
Fikser Invisalign tennene permanent?
Invisalign er laget for å gi en varig løsning, men det er en liten hake. Uansett om du retter opp tennene med regulering eller Invisalign, er det alltid en sjanse for at de kan flytte seg tilbake etter behandlingen. Derfor pleier vi å si at resultatene dine blir like gode som vanene dine!
Skal man bruke invisalign hele dagen?
Tannleger anbefaler at man ikke har skinnene ute av munnen i mer enn to timer per dag. Med andre ord bør du ha dem på i omtrent 22 timer i døgnet. Hvis du bruker dem mindre enn dette, kan behandlingen ta lengre tid enn planlagt.
Hvorfor anbefaler ikke tannleger Invisalign?
Tannlegen din kan fraråde Invisalign hvis tennene dine har en form som ikke passer for behandlingen, for eksempel hvis de er for korte eller spisse. Hvis tennene dine er veldig roterte, kan det også være vanskelig for Invisalign å rette dem opp ordentlig. I tillegg kan store mellomrom mellom tennene være et problem – selv om Invisalign kan korrigere små mellomrom, kan større avstander kreve regulering med tradisjonelle tannreguleringer.
Hvor ofte mislykkes Invisalign?
Mange pasienter er usikre på om Invisalign faktisk fungerer. Men sannheten er at behandlingen har en suksessrate på rundt 96 %. Det betyr at den bare mislykkes i omtrent 4 % av tilfellene, eller for cirka 1 av 25 pasienter.
Kan jeg trene med Invisalign?
Ja, du kan helt fint trene med Invisalign! De er så komfortable at du knapt merker at du har dem på når du trener. Siden de er spesialtilpasset til tennene dine, sitter de godt på plass og vil ikke løsne eller flytte på seg mens du er i aktivitet.
Gjør det vondt å bruke Invisalign?
Invisalign og gjennomsiktige tannreguleringer kan gi litt smerte eller ubehag, men det er som regel veldig mildt og går raskt over. Faktisk opplever over 54 % av dem som bruker Invisalign litt ubehag i starten, men det forsvinner etter kort tid.
Kan du drikke med Invisalign?
Ja, du kan drikke alkohol, vin, brus, juice og andre drikker mens du bruker Invisalign. Men du må ta ut skinnene før du drikker noe annet enn vann. Det eneste du trygt kan drikke mens du har på deg reguleringen, er vann.
Skal man sove med Invisalign på?
Ja, du må ha på deg Invisalign om natten. Produsenten anbefaler at du bruker skinnene i 20 til 22 timer i døgnet og kun tar dem ut når du spiser eller pusser tennene. Det er ikke lurt å ta dem ut når du sover, siden de må være på mest mulig for å fungere som de skal.
Kan man kysse med Invisalign?
Ja, det kan du absolutt! Og enda bedre – siden Invisalign er gjennomsiktig, er det stor sjanse for at den du kysser ikke engang legger merke til at du har regulering. Det er ingenting som hindrer deg i å kysse med Invisalign!
Er det vanskelig å snakke med Invisalign?
Siden skinnene er så tynne, vil de bare påvirke måten du snakker på i veldig liten grad. I starten, de første dagene, kan du merke en svak lesping, spesielt når du sier lyder som “s”, “sh” og “z”. Men dette pleier å forsvinne ganske raskt etter hvert som munnen din venner seg til skinnene.
Hva klager folk mest på med Invisalign?
Det folk oftest klager på med Invisalign er ubehaget. Det kan gjøre vondt, og det er ikke bare i starten. Hver gang du får nye skinner, kan du oppleve smerter og vansker med å snakke eller spise. Dette ubehaget kan vare i opptil tre dager.
Er det vanskelig å sove med Invisalign?
Noen synes det er slitsomt å ha på reguleringen om natten, mens andre ikke har noe problem i det hele tatt. Hvis du føler at Invisalign gjør det ubehagelig å sove, kan du prøve å ha dem på i kortere perioder eller eventuelt ta dem ut før du legger deg.
Kan jeg drikke kaffe med Invisalign?
Ja, du kan drikke kaffe med et sugerør mens du har på deg Invisalign, men vær forsiktig. Varm kaffe kan skade skinnene, så la den kjøle seg litt ned først. Sugerør hjelper med å redusere direkte kontakt, noe som minsker risikoen for misfarging. Etter at du har drukket, bør du skylle munnen og rense skinnene for å unngå flekker eller belegg.
Er det greit å bite sammen for å få Invisalign på plass?
Nei, du skal ikke bite for å få skinnene på plass. Pass på at de sitter helt riktig og er trykket helt ned over tennene. Det skal ikke være noen luftlommer eller mellomrom mellom tennene og skinnene.
Kan jeg svømme med Invisalign eller regulering?
Ja, du kan fint svømme med både Invisalign og regulering. De ruster ikke, og klor i bassenget skader dem ikke. Hvis du har Invisalign, kan du velge om du vil beholde skinnene på eller ta dem ut når du svømmer. Bare husk at du fortsatt må bruke dem 20 til 22 timer om dagen for at behandlingen skal fungere som den skal. Hvis du driver med vannsport, er det lurt å bruke tannbeskytter – enten du har regulering eller Invisalign.
Kan jeg røyke når jeg bruker Invisalign?
Hvis du røyker med Invisalign, kan varmen og røyken misfarge skinnene og til og med endre formen på dem. Hvis de blir deformerte, kan de sitte dårligere, og da fungerer de ikke like bra. Det beste er å ta ut skinnene før du røyker.
Mer informasjon om Invisalign – Lær mer fra pålitelige kilder
- Skullerud Tannlegesenter
https://www.skullerudtannlegesenter.no/behandlinger/invisalign
- Ivnisalign
- Healthline
https://www.healthline.com/health/does-invisalign-work
- Wikipedia
https://no.wikipedia.org/wiki/Invisalign
- WebMD
https://www.webmd.com/oral-health/invisible-orthodontic-aligners
Informasjonskilder
ingen tekst