Inman Aligner
- ⭐ 5/5-stjerners vurderinger – pasientene førstevalg
- Laveste pris i Kolbotn og Follo – toppkvalitet for alle budsjetter
- Kveldsåpent – behandling på dine premisser
- Over 12 års erfaring med korttidstannregulering – tre systemer å velge mellom
- Komfort i #TannSpa-omgivelser – en rolig behandlingsopplevelse
Hva våre kunder sier om oss
Laveste tannlegepriser på Kolbotn
Bedøvelse
Mandag
08:00 – 16:00
Tirsdag
08:00 – 18:00
Onsdag
08:00 – 18:00
Torsdag
08:00 – 16:00
Fredag
08:00 – 15:00
Inman Aligner – Enkel, rask og avtakbar regulering for perfekte fortenner
Inman Aligner er en av de mest effektive og brukervennlige metodene for korttidstannregulering. Med sitt enkle design og avtakbare apparatur, passer denne løsningen perfekt til en moderne livsstil. Metoden er spesielt utviklet for å gi raske og imponerende resultater i de rette tilfellene, alt med én og samme skinne gjennom hele behandlingen.
Ikke la skjeve tenner stå i veien for smilet ditt – opplev hvor enkelt det kan være å oppnå drømmesmilet ditt med Inman Aligner. Ta kontakt med oss i dag for en konsultasjon og finn ut om dette er løsningen for deg!
Tannlege Anna forklarer Inman Aligner | Kolbotn Tannklinikk – rask korttidstannregulering i Kolbotn og Follo
Video med tannlege Anna ved Kolbotn Tannklinikk. Hun forklarer hvordan Inman Aligner fungerer, og hvordan apparaturen flytter fortenner raskt og effektivt – rettet mot pasienter i Kolbotn, Vinterbro, Oppegård, Sofiemyr, Holmlia, Nordstrand og Greverud.
Tannlege Uzma om Inman Aligner | Kolbotn Tannklinikk – effektiv og avtakbar regulering i Kolbotn, Oppegård og Follo
Video med tannlege Uzma ved Kolbotn Tannklinikk. Hun forklarer fordeler, bruksområder og behandlingsforløp for Inman Aligner. Filmet for pasienter i Kolbotn, Follo, Myrvoll, Nordstrand, Sofiemyr og Hauketo.
Kort oppsummert
Inman Aligner – Rask og effektiv korttidstannregulering | Kolbotn Tannklinikk
- Inman Aligner er en avtakbar korttidstannregulering med kun én skinne
- Passer best for mindre skjevheter i fortennene, med begrenset effekt på hjørnetenner
- Systemet er effektivt, med fjærbelastede bøyler som gir konstant kraft og rask tannforflytning
- Behandlingstiden er ofte 2–6 måneder, avhengig av kompleksitet
- Jevnlige kontrolltimer er nødvendig for å sikre riktig fremdrift
- Tennene stabiliseres etterpå med retainertråd og eventuelt små estetiske justeringer for å gi et enda penere smil
Inman Aligner
Inman Aligner – Diskret regulering for raske tannforbedringer
Inman Aligner er en metode innenfor korttidstannregulering der målet er enkel forflytning av fortenner for bedre tannposisjon. Det kan være grunnet estetiske, hygieniske eller funksjonelle årsaker.

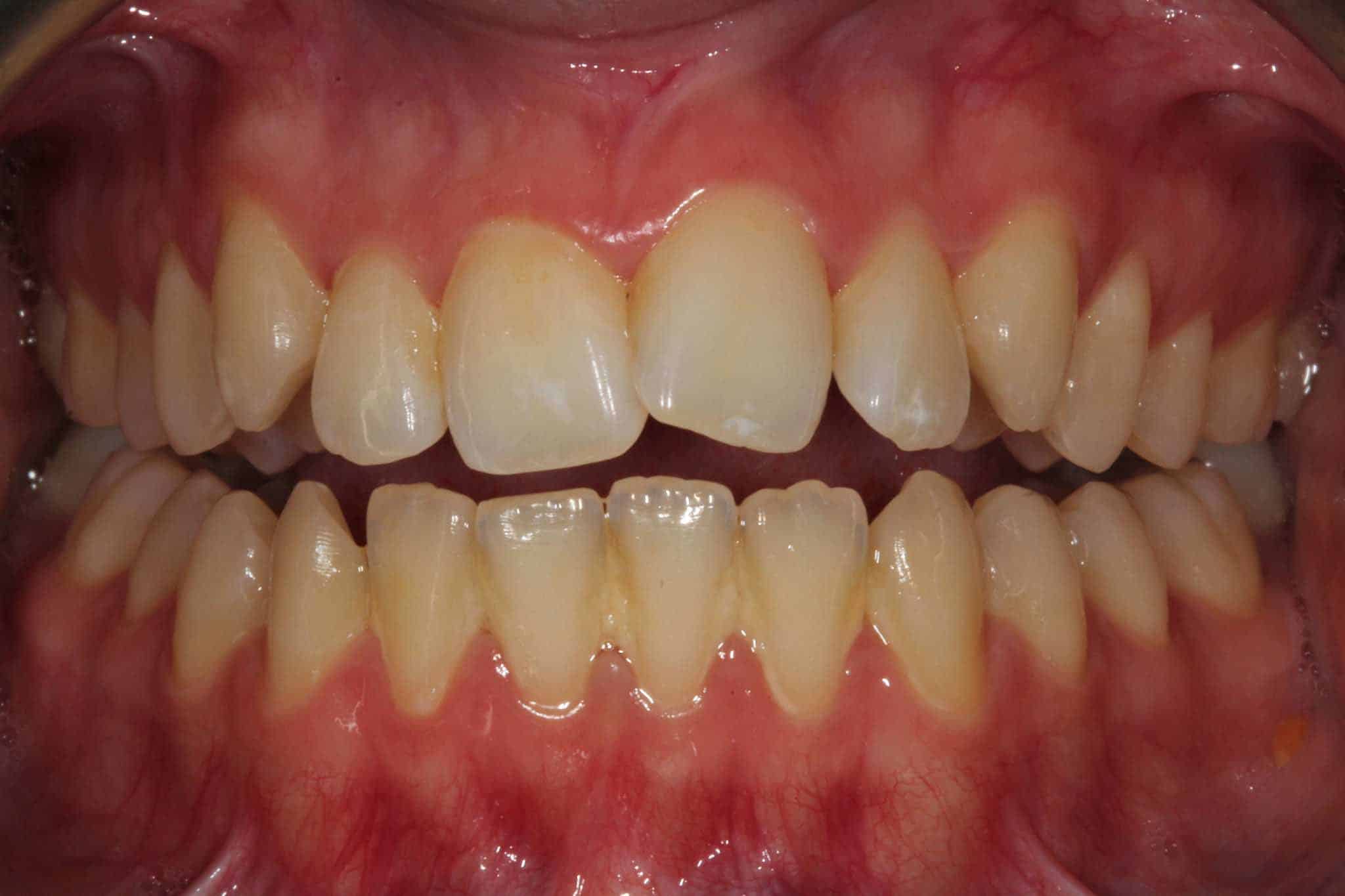
Bildet viser før og etter av overkjevens fortenner behandlet med Inman Aligner.
Bruksområder, fordeler, ulemper og utfordringer
Når passer Inman Aligner? – Ideell for mindre justeringer av fortenner
Inman Aligner er en avtakbar, gjennomsiktig tannregulering som primært brukes til å rette opp mindre tannstillingsfeil i fronten av over- eller underkjeven. Bruksområdene inkluderer korrigering av trangstilling, lett rotasjon av fortenner og tilbakefall etter tidligere tannregulering. Behandlingen er spesielt effektiv for kosmetiske justeringer av fortennene og gir ofte resultater i løpet av 6–18 uker. Inman Aligner passer best for voksne som ønsker en rask og diskret løsning, og som kan bruke skinnen 16–20 timer per dag for optimal effekt. Den er ikke egnet for større bittavvik eller komplekse tannstillingsproblemer.
Fordeler og ulemper ved Inman Aligner – Alt du trenger å vite om korttidstannregulering
Som ethvert system innenfor korttidstannregulering, vil Inman Aligner også ha fordeler, ulemper og ikke minst noen utfordringer. Nedenfor gir vi en kort innføring i disse.
Fordeler med Inman Aligner – Én skinne, raskt resultat
Enkelt med én apparatur: Hvorfor Inman Aligner er brukervennlig
En stor fordel ved Inman Aligner er at behandlingen kun er basert på én skinne. Det betyr at du ikke trenger å bytte skinne hver uke eller annenhver uke, og med det slipper å kjenne noe hver gang du bytter skinne.
Rask tannforflytning – Resultater på 2–6 måneder
Inman Aligner er konstruert slik at den flytter fortenner på en svært effektiv måte. To bøyler som er tilkoblet noen fjær påfører en konstant kraft mot tennene slik at tannforflytningen går raskt og jevnt.
Ulemper og begrensninger ved Inman Aligner
Én apparatur/skinne – litt mer ansvar
Ettersom man bare har en skinne under denne behandlingen, betyr det også at du står overfor en litt større utfordring om skinnen skulle bli ødelagt. Om denne går tapt eller i stykker må den erstattes med en ny skinne/apparatur og dermed kan det bli mer kostbart.
Tannfargede knapper for optimal effekt
For at Inman Aligner skinner skal kunne flytte på tennene festes knapper/klosser på tennene i tannfarget plastmateriale. Disse sørger for at bøylen som skyver på tennene, holder seg på riktig sted og gir maksimalt med effekt. Disse klossene kan kjennes noe klumpete og forstyrrende når skinnene ikke brukes.
Begrenset effekt på hjørnetenner – Alternativer når mer flytting er nødvendig
Inman Aligner begrenser seg til å virke best på de fire midterste fortennene. Hjørnetenner er i seg selv vanskelige tenner å endre på, og Inman Aligner har heller ikke muligheten til å påvirke hjørnetennene i stor grad. I tilfeller der det er ønskelig å endre hjørnetannsplassering, eller tennene bakenfor hjørnetennene, kan det være bedre med andre varianter av korttidstannregulering.
Utfordringer
Det er generelt ikke noen nevneverdige utfordringer ved bruk av Inman Aligner. Av det som kan nevnes er regelmessig etterkontroller og mindre småspising.
Regelmessige kontroller – Slik sikrer vi resultatet
Inman Aligner behandling innebærer å ha kontrolltimer underveis, der forhold tilrettelegges underveis, for at tennene flyttes som ønskelig og planlagt. Det bør forventes å måtte komme inn til kontroll hver 3. uke.
Mindre småspising – En bonus ved Inman Aligner
Inman Aligner apparaturen er ikke beregnet til å kunne spise med. Det anbefales å ta disse ut ved inntak av mat og senere skylle munnen/pusse tennene før skinnen plasseres tilbake i munnen. Dette tiltaket kan mange oppleve som en hindring i å småspise mellom måltidene, noe som for mange oppleves som en fordel.
Behandling
Slik fungerer Inman Aligner – Teknologien bak raske resultater
Inman Aligner består av en apparatur med to gjennomsiktige bøyler som er festet i en base. Basen tres over jekslene, mens bøylene sørger for å skyve tennene fra utsiden og innsiden mot ønsket plassering. Siden bøylene er festet til basen ved hjelp av to fjær blir kraften fra bøylen mye større og dermed kan resultatet oppnås ganske raskt.
Inman Aligner egner seg hovedsakelig til å flytte/skyve på fortenner mellom hjørnetennene. Den kan regulere hjørnetennene noe, men det er begrensninger på hva som kan oppnås.
Inman Aligner sammenlignet med Invisalign og 6 Month Smiles – Hva er best for deg?
Alle systemer innenfor korttidstannregulering vil ha sine fordeler og ulemper. Her ønsker vi å gi deg en kort oversikt over hvordan Inman Aligner er i forhold til de andre systemene som er tilbudt på markedet, og som vi tilbyr.
Inman Aligner vs. Invisalign – Hva passer best for deg?
Invisalign består av flere gjennomsiktige skinner som skal brukes i en bestemt rekkefølge for å flytte på tennene mot ønsket posisjon. På samme måte som ved Inman Aligner, settes det noen plastklosser på tennene, i samme farge som tennene. Dette gir skinnen bedre tak i tennene og tillater skinnen å foreta forskjellige bevegelser og samtidig forskynde behandlingen. Les mer om Invisalign.
Inman Aligner vs. 6 Month Smiles – Når velge fast regulering
6 month smile er som den klassiske tannreguleringen, men der delene er tannfarget slik at det er mindre synlig. 6 month smile sitter fast og kan ikke tas av. Metoden egner seg til mer avanserte tilfeller. Spesielt der det vil være behov for store forflytninger av tennene, eller der det vil være nødvendig å flytte de store jekslene er 6 month smile den anbefalte metoden for tannregulering. Les mer om 6 Month Smiles.
Smerte og ubehag
Gjør Inman Aligner vondt? – Hva du kan forvente de første ukene
Bruk av Inman Aligner skal i utgangspunktet være lite smertefullt. Likevel kan du den første uken oppleve at tennene er noe ømme og litt vonde, da tennene er i bevegelse. Senere stabiliseres dette som regel ganske raskt. Dersom det blir behov for å skape noe mellomrom mellom tennene for å hjelpe tannbevegelse, kan dette også være litt vondt i noen sekunder mens dette blir gjort.
Behandlingstid og -forløp
Behandlingstid med Inman Aligner – Hvordan ser behandlingsforløpet ut?
Behandlingstid med Inman Aligner – Fra vurdering til ferdig smil
Du og dine tenner vil være unike fra alle andre, og derfor vil det være vanskelig å forutsi hvor lang tid en invisalign behandling vil ta. Behandlingstiden vil være avhengig av vanskelighetsgrad (antall tenner som skal flyttes, hvor langt de skal flyttes og plassen de skal flyttes til) og bittet. Ved vurdering sammen med teknikker, vil behandlingstiden kunne anslås på forhånd.
I de fleste tilfeller vil behandling med Inman Aligner kunne ta fra 2 – 6 måneder.
Steg-for-steg: Hele prosessen fra konsultasjon til etterbehandling
- Kartlegging av forhold – fotobilder og avtrykk
- Presentasjon av behandling. Samtykke til behandling
- Tilrettelegge og igangsette behandling
- Oppfølging av behandling
- Avslutte behandling
- Eventuell etterbehandling avtales
Ved første time kartlegges og utelukkes enkelte tannsykdommer. I tillegg vil du som pasient og dine ønsker vurderes vurderes, samtidig som tenner og bittforhold vurderes. Det vil bli tatt fotobilder og avtrykk av deg og dine , tenner og bittforhold. Disse sendes til tanntekniker, som vurderer forholdene og legger opp et behandlingsforslag i samråd med tannlegen.
Så snart et behandlingsforslag er klargjort, blir et konsultasjonsmøte satt opp med der behandlingsforslaget gjennomgås. Dersom du ønsker å igangsette behandlingen, bestilles denne av Inman Aligner laboratoriet.
Første behandlingstime settes opp der forhold tilrettelegges for behandlingen. Skinnen/apparaturen blir utlevert og instrukser i bruk og rengjøring blir gitt.
Kontrolltimer settes opp fortløpende frem til ønsket resultat er oppnådd. Når dette skjer avsluttes behandlingen og eventuell etterbehandling avtales sammen med tannlegen.
Oppfølging og etterkontroll
Etterbehandling med Inman Aligner – Retainertråd og estetiske korrigeringer
Etter gjennomført behandling med Inman Aligner smiles vil det være behov for å forankre tennene i sin nye tannposisjon. Tenner er alltid i bevegelse og det alltid en fare for at tenner kan flytte på seg. For å forhindre at dette skjer må tennene holdes fast i sin stilling. Dette gjøres ved å lime fast tennene med en streng bak på tennene (retainertråd).
For å kunne få et enda penere smil, er det ikke uvanlig at flere ønsker å gjøre noe med fasongen på tennene.Det finnes flere alternativer til slike endringer og valget vil være avhengig av bittforhold, grad av endring og hvordan du ønsker at det skal se ut. Ofte vil valget stå mellom estetisk tannfarget fylling og fasett.
Retainertråd etter Inman Aligner – Slik bevarer du resultatet
Retainertråd er en metallstreng som festes bakpå tennene fra hjørnetann til hjørnetann. Formålet er å forhindre bevegelse av tennene. Når tennene er på riktig plass gjennomføres eventuelle justeringer for så å bestille en retainertråd av tanntekniker. Retainertråd festes til tennene med tannfarget fyllingsmateriale, og er ikke synlig fra utsiden. Til å begynne med vil det ikke være til å unngå å kjenne retainertråden, som kan virke klumpete og plasstakende. Dette endrer seg raskt med at kroppen blir vant til dette. Les mer om retainertråd.
Estetiske korrigeringer etter regulering – Perfeksjoner smilet ditt
Når tennene kommer på riktig plass er det ikke uvanlig at det er ønskelig å korrigere og justere på disse for å oppnå et enda penere smil. Ofte vil tennene ha blitt slitt på i sin gamle posisjon, og med den nye posisjonen blir slitasjen synlig på en annen måte. I de fleste tilfeller kan man med tannfargete og fyllinger enkelt justere på tennene slik at du kan få et enda penere smil. Mange opplever at dette holder men i noen forhold vil det kunne være penere med å bruke andre løsninger slik som fasetter og krone. Denne vurderingen tas sammen med tannlegen etter at Inman Aligner behandlingen er ferdig og før retainertråd festes bak på tennene. Les mer om estetisk og kosmetisk behandling.
Slik utfører vi Inman Aligner hos Kolbotn Tannklinikk
Hos Kolbotn Tannklinikk har vi lang erfaring med Inman Aligner og tilbyr behandlingen som et trygt og effektivt alternativ for justering av fortenner. Før vi starter, gjør vi en grundig undersøkelse med foto, avtrykk eller digital skanning for å lage en skreddersydd behandlingsplan. Selve apparaturen tilpasses individuelt og leveres med tydelige instruksjoner, slik at du kan bruke den riktig og oppnå ønsket resultat. Vi følger deg opp med jevnlige kontrolltimer hver 2.–3. uke for å sikre god fremdrift og justering ved behov. Hele prosessen skjer i trygge rammer, med tydelig kommunikasjon og en rolig atmosfære. Målet vårt er at du skal få et vakkert og stabilt smil – på en rask, behagelig og forutsigbar måte.
TEKSTFORFATTER
Tannlege Jasdeep Ohri
Har du noen spørsmål om temaet? Trykk her for å sende en epost til tekstforfatteren.
Innholdsfortegnelse
- Inman Aligner
- Bruksområder, fordeler, ulemper og utfordringer
- Behandling
- Smerte og ubehag
- Behandlingstid og -forløp
- Oppfølging og etterkontroll
- Slik utfører vi Inman Aligner hos Kolbotn Tannklinikk
- Tannlegeskrekk – og hvorfor Inman Aligner kan være en trygg start
- Tannleger som tilbyr Inman Aligner i Kolbotn og Follo
- Hvorfor velger kunder oss for Inman Aligner korttidstannregulering?
- Priser på Inman Aligner
- Før- og etterbilder – Se forvandlingen med Inman Aligner
- Hvorfor velge Kolbotn Tannklinikk for Inman Aligner
- Relaterte behandlinger – Fra tannbleking til fasetter og implantater
- Ofte stilte spørsmål om Inman Aligner
- Mer informasjon om Inman Aligner
- Informasjonskilder
Bestill time
"*" obligatorisk felt
Tannlegeskrekk – og hvorfor Inman Aligner kan være en trygg start på tannbehandling
For mange med tannlegeskrekk er det tanken på smerte og lange, ubehagelige timer i tannlegestolen som gjør at man utsetter behandlingen.
Hos Kolbotn Tannklinikk vet vi at Inman Aligner er en av de mest skånsomme formene for tannregulering – og dermed et trygt første steg for deg som gruer deg. Behandlingen er lite invasiv, med korte og forutsigbare kontrolltimer, og uten boring eller kirurgi. Vi tar oss god tid til å forklare prosessen, tilpasser tempoet etter ditt behov og sørger for at du alltid har mulighet til å ta pauser.
Mange pasienter med tannlegeskrekk opplever Inman Aligner som en positiv opplevelse – både fordi den gir raskt synlige resultater og fordi den kan bidra til å bygge opp tryggheten i møte med tannlegen.
Les mer om tannlegeskrekk.
Tannleger som tilbyr Inman Aligner i Kolbotn og Follo
- Tilbyr inman aligner
Les mer om våre tannleger
Hva er forskjellen mellom junior- og seniortannlege?
Junior tannlege er våre tannleger som har mindre enn 12 år med erfaring. Disse tannlegene vil ofte være bedre oppdatert faglig, på et generelt grunnlag, og kunne utføre de fleste behandlinger innen rimelig tid.
Våre seniortannleger har mer enn 12 år i erfaring og jobber både raskere og mer effektiv. Disse tannlegene har lang erfaring og er ofte mer kompetent til å kunne håndtere kompliserte problemstillinger og behandlinger. Det er ikke uvanlig at en seniortannlege over årene utvikler større interesse, mer erfaring og derav bedre kompetanse innenfor enkelte type behandlinger fremfor andre.
Junior tannlege Anna Haugen – Vår nyeste tannlege med lidenskap for faget
Tannlege Anna Haugen er vår nyeste tannlege. Hun tok sin utdanning i Polen og har allerede i en alder av 26 år oppnådd mye innenfor faget. Som tannlege er Anna både målrettet, strukturert, dedikert og ambisiøs. På fritiden er hun svært familieorientert og verdsetter tid med familien, samt liker å holde seg aktiv på treningssenteret. Vi er sikre på hennes lidenskap for yrket og varme personlighet vil gjøre henne til et verdifullt tillegg til teamet vårt.
Junior tannlege Uzma Shabir – Ekspert på estetisk tannbehandling
Uzma er også blant våre nye tannleger. Uzma tok sin tannlegeutdanning ved Universitet i Oslo og begynte hos oss i 2023. Som tannlege oppleves Uzma som rolig og behagelig i sin opptreden, noe som gjør at pasienter føler seg godt ivaretatt. Uzma har et øye for estetikk og liker å jobbe med estetisk tannbehandling i tillegg til ordinær tannbehandling. På fritiden er Uzma opptatt av mote, sosialt samvær og nye opplevelser.
Senior tannlege Jasdeep Ohri – Lang erfaring og behagelig opplevelse
Jasdeep er vår mest erfarne og anerkjente tannlege. Jasdeep gjennomførte sine grunnleggende tannlegestudier i Oslo men i senere tid reist mye til USA for å øke sin faglige kompetanse. Jasdeep er blitt sitert som en av de beste tannlegene i Norge, noe som skyldes hans evne til å integrere ny og innovativ teknologi i sitt arbeid samtidig som han klarer å vise pasienter den omsorg og trygghet de trenger.
Les mer om våre tannleger på Kolbotn.
Hvorfor velger kunder oss for Inman Aligner korttidstannregulering?
Priser på Inman Aligner – Fra forundersøkelse til ferdig resultat
Pris på Invisalign vil variere ut ifra behandlingsbehov (skadeomfang/vanskelighetsgrad), behandlerkompetanse (kunnskap/erfaring) og tidsbruk. I tillegg kan det være behov for forberedende behandling og andre tiltak som vil koste ekstra, eksempelvis forundersøkelse/kartlegging, røntgenbilde, fotobilder, etterkontroll/oppfølging og mer.
- Hygienetillegg, per seanse – fra 195kr
- Enkel konsultasjon, opptil 10 minutter – fra 0kr
- Konsultasjon med forundersøkelse og evt. bestilling – fra 1419kr
- Inman Aligner, 1 kjeve, produsert i England – fra 19533kr
- Retainertråd, inkludert tannteknikerandel, produsert på Lillestrøm/England – fra 2755kr
- Retainerskinne/Viveraskinne, inkludert tannteknikerandel, produsert i Norge/USA – fra 5555kr
Prisene over er ved behandling hos vår junior tannlege. Våre junior tannleger vil kunne tilby deg den rimeligste prisen, men behandling vil kunne ta lengre tid. En senior tannlege har mer erfaring, bruker mindre tid og koster mer. Se vår prisliste.
Studentabatt
I tillegg tilbyr vi 15% studentrabatt.
Økonomisk hjelp
Helfo støtte
Ved enkelte diagnoser vil Helfo dekker deler av behandlingen og prisen derfor reduseres. For mer informasjon besøk Helfo.
Delbetalingsordning
Vi tilbyr delbetaling via Resursbank. Les mer om Resursbank.
Vår prisliste
For mer informasjon om våre priser, se vår prisliste.
Før- og etterbilder – Se forvandlingen med Inman Aligner

Bildet viser før og etter av overkjevens fortenner behandlet med Inman Aligner.

Bildet viser før og etter av overkjevens fortenner behandlet med Inman Aligner.
Flere bilder
Hvorfor velge Kolbotn Tannklinikk for Inman Aligner
⭐ 5/5-stjerners vurderinger – pasientenes førstevalg
Over 415 pasienter har gitt oss toppscore på Google, Facebook og Legelisten. Vi får spesielt skryt for trygge, effektive og estetiske resultater med Inman Aligner.
Laveste pris i Kolbotn og Follo – toppkvalitet for alle budsjetter
Vi tilbyr markedets laveste priser på Inman Aligner, med mulighet for behandling hos både junior- og seniortannleger. I tillegg får du 15 % studentrabatt, og vi hjelper med å sjekke eventuell Helfo-støtte.
Kveldsåpent – behandling på dine premisser
Vi holder åpent til kl. 19 flere dager i uken, slik at du kan starte og følge opp behandlingen uten å måtte ta fri fra jobb eller endre hverdagen.
Over 12 års erfaring med korttidstannregulering – tre systemer å velge mellom
Vi tilbyr Inman Aligner, Invisalign og 6 Month Smiles – og finner sammen den løsningen som passer best til dine tenner, mål og tidsramme.
Velg mellom flere systemer for korttidstannregulering
Allerede i 2012 begynte klinikken å tilby korttidsregulering og har jobbet aktivt med dette i alle år. Vi tilbyr i dag flere forskjellige systemer som sammen dekker et stort tilbud innenfor korttidstannregulering. Alle systemer har sine fortrinn og ulemper. Sammen skal vi klare å finne det systemet som passer deg og dine tenner best.
Beroligende omgivelser hos Kolbotn Tannklinikk – Din #tannspa-opplevelse
Korttidstannregulering er en behandling som tar lang tid, noe som innebærer flere besøk til tannlegen. Da synes vi det er ekstra greit at omgivelsene oppleves som komfortable. Det er ikke uten grunn at Kolbotn Tannklinikk har fått sin hashtag – #tannspa. Vi har nemlig jobbet med det lille ekstra for at du får en behageligere opplevelse fra øyeblikket du kommer til oss, og til du forlater oss.
Relaterte behandlinger – Fra tannbleking til fasetter og implantater
Ofte stilte spørsmål om Inman Aligner korttidstannregulering
Hvor mye koster Inman Aligner behandling
Se informasjonsside om Inman Aligner eller vår prisliste for oppdaterte priser.
Hvor lang tid tar behandling med Inman Aligner og hvor mange besøk er nødvendig?
Behandlingstid med Inman Aligner vil variere ut i fra kompleksitet ved behandling, pasientens egeninnsats og behov for etterkorrigeringer. Behandlingsforløpet kan kategoriseres slik
- Førstegangsvurdering
- Gjennomgang av estimert resultat og behandlingstid. Bestilling av behandling.
- Igangsettelse av behandling. Utlevering av apparaturen
- Etterkontrolltimer. Antall etterkontroller vil variere og vil være estimert ved bestilling.
- Ved avslutning av behandling vil videre forløp avtales
- Nye timer til retainertråd, vivera retainerskinne og estetiske korrigeringer skjer etter avtale.
Gjør Inman Aligner behandling vondt
Det er ikke uvanlig å kjenne ømhet eller svak smerte den første uken når behandlingen igangsettes.
Er Inman Aligner bedre enn Invisalign?
Inman Aligner er ofte et rimeligere alternativ, hovedsakelig fordi behandlingstiden er kortere. Hvis du vil rette opp fortennene dine på en effektiv, men mer budsjettvennlig måte, kan Inman Aligner være et godt valg. Invisalign koster vanligvis mer, men er en mer omfattende løsning for tannregulering.
Hvor mange timer om dagen bør du bruke Inman Aligner?
Det er best å bruke Inman Aligner i opptil 20 timer om dagen. Hvis du har den på i færre timer, kan behandlingen ta lengre tid. Du må alltid ta den ut når du spiser, og det er viktig å pusse både tennene og aligneren før du setter den på igjen.
Er Inman-aligners smertefulle?
I starten kan tennene føles litt ømme, og du kan merke at det påvirker både tale og spyttproduksjon. Det tar som regel ikke lang tid før du venner deg til aligneren. Om du opplever smerter, kan smertestillende hjelpe, eller du kan spørre tannlegen din om råd. Hvor lenge varer behandlingen?
Er Inman Aligners synlige?
Inman Aligners er mer diskrete enn vanlige reguleringsskinner. Det eneste som synes, er en tynn metalltråd eller noen ganger et gjennomsiktig bånd.
Er det greit å droppe å bruke Invisalign en dag?
Det er egentlig ikke lurt å droppe å bruke Invisalign, selv om det bare er for én dag. Selv om de kan tas ut, er de laget for å brukes hele dagen, hver dag, i rundt 22 timer i døgnet.
Mer informasjon om Inman Aligner – Lær mer fra offisielle kilder
- Skullerud Tannlegesenter
https://www.skullerudtannlegesenter.no/behandlinger/inman-aligner
- Inman Aligner
Informasjonskilder
ingen tekst