Estetisk og kosmetisk
- 5/5 ⭐ stjerner på Google – Topp vurdert av pasientene
- Laveste pris i Kolbotn og Follo
- Langåpent – Behandling når det passer deg
- Spisskompetanse på estetiske behandlinger
- Dokumenterte resultater – mange før/etter-bilder
Hva våre kunder sier om oss
Laveste tannlegepriser på Kolbotn
Bedøvelse
Mandag
08:00 – 16:00
Tirsdag
08:00 – 18:00
Onsdag
08:00 – 18:00
Torsdag
08:00 – 16:00
Fredag
08:00 – 15:00
Estetisk og kosmetisk tannbehandling – Få et naturlig, vakkert og selvsikkert smil
Et vakkert smil handler ikke bare om estetikk – det handler om trygghet, selvtillit og følelsen av å kunne være seg selv fullt ut. Hos Kolbotn Tannklinikk tilbyr vi estetisk og kosmetisk tannbehandling som løfter frem det beste ved smilet ditt, uten at det føles kunstig eller overdrevent. Enten du ønsker hvitere tenner, rettere tannrekke, eller en naturlig reparasjon av skader og slitasje, gir vi deg skreddersydde løsninger som kombinerer presisjon, moderne teknologi og et øye for detaljer.
Vi hjelper deg med å oppnå et smil du er stolt av – enten du ønsker små justeringer eller større forbedringer. Med behandlinger som tannbleking, korttidstannregulering, Airflow-rens, kosmetisk oppbygging og naturlige tannerstatninger, får du både et bedre utseende og en bedre tannhelse. Alle våre behandlinger utføres med fokus på komfort, trygghet og et resultat som ser naturlig ut og føles som deg.
Ta kontakt med oss i dag – og la første steg mot drømmesmilet begynne hos erfarne hender som ser hele deg, ikke bare tennene dine.
Tannlege Anna forklarer estetisk tannbehandling | Kolbotn Tannklinikk – naturlig og vakkert smil i Kolbotn og Follo
Video med tannlege Anna ved Kolbotn Tannklinikk. Hun forklarer hvordan estetisk tannbehandling kombinerer funksjon og estetikk, med fokus på naturlige resultater – pasienter i Kolbotn, Follo, Vinterbro, Oppegård og Sofiemyr.
Tannlege Uzma om estetisk tannbehandling | Kolbotn Tannklinikk – moderne løsninger i Kolbotn, Oppegård og Follo
Video med tannlege Uzma ved Kolbotn Tannklinikk. Hun beskriver populære behandlinger som tannbleking, korttidstannregulering og estetisk oppbygging – Kolbotn, Follo, Holmlia, Greverud og Nordstrand.
Kort oppsummert
Estetisk og kosmetisk tannbehandling – en kort oppsummering | Kolbotn Tannklinikk
- Få et naturlig og vakkert smil med profesjonell estetisk tannbehandling – skreddersydd for deg
- Vi tilbyr trygg, moderne og komfortabel behandling for både små justeringer og større forbedringer
- Behandlingene forbedrer både utseende og tannhelse – uten at resultatet ser kunstig ut
- Hos oss finner du alt fra tannbleking og Airflow til korttidstannregulering og kosmetisk oppbygging
- Vi bruker teknologi og faglig presisjon for å fremheve det beste ved smilet ditt
- Våre løsninger er diskrete, effektive og tilpasset dine ønsker og behov
- Opplev trygghet, selvtillit og et smil du er stolt av – hos tannklinikken som ser hele deg
- Ta kontakt i dag og start reisen mot drømmesmilet ditt!
Estetisk tannbehandling
Hva er estetisk tannbehandling? Derfor velger pasientene Kolbotn Tannklinikk
Estetisk og kosmetisk tannbehandling handler om mer enn bare utseendet – det handler om å føle seg trygg når du smiler. Hos oss kombinerer vi faglig presisjon med moderne teknikker for å forbedre både form, farge og harmoni i smilet ditt. Enten du ønsker et hvitere smil, rette tenner, eller en diskret reparasjon av skadde områder, tilbyr vi behandlinger som er skreddersydd for dine ønsker og behov. Estetisk tannbehandling handler ikke om å endre hvem du er – men å løfte frem det beste ved deg.
Behandlinger
Våre mest populære behandlinger innen estetisk tannpleie
Airflow tannrens – Skånsom og effektiv fjerning av misfarging
Airflow er en skånsom, men effektiv metode for å fjerne misfarging, plakk og belegg på tennene. Ved hjelp av en blanding av luft, vann og fint pulver blåses misfarginger fra kaffe, te, vin og røyk vekk – også fra områder som er vanskelige å nå med tannbørsten. Behandlingen etterlater tennene rene og glatte, og gir ofte et umiddelbart friskere og lysere smil.
Les mer om airflow.
Bildet viser et tannsett med misfarging behandlet med Airflow.

Bildet viser et tannsett bleket med blekeskinner.
Tannbleking – Trygg og effektiv metode for et hvitere smil
Tannbleking er en trygg og effektiv måte å lysne tennenes naturlige farge på. Hos oss tilbyr vi profesjonell tannbleking med klinisk dokumentert effekt og skreddersydde blekeskinner til hjemmebruk. Behandlingen fjerner dype misfarginger forårsaket av blant annet kaffe, te, rødvin og aldring, og gir deg et merkbart hvitere smil – trygt og skånsomt.
Les mer om tannbleking.
Korttidstannregulering – Rette tenner raskt og diskret med moderne metoder
Korttidstannregulering er et populært valg for voksne som ønsker rette tenner på en rask og diskret måte. Behandlingen retter kun de synlige fortennene og har derfor kortere behandlingstid enn tradisjonell regulering – ofte mellom 4 og 9 måneder. Vi tilbyr både gjennomsiktige skinner (Invisalign) og tannfargede brackets, slik at du kan smile gjennom hele prosessen.
Les mer om invisalign og. korttidstannregulering.

Bildet viser tenner behandlet med Invisalign korttidstannregulering.
Bildet viser tenner behandlet med Invisalign korttidstannregulering.
Kosmetisk tannoppbygging – Skånsom reparasjon av flisete og slitte tenner
Har du flisete, slitte eller ujevne tenner? Med estetisk tannoppbygging kan vi gjenopprette tennenes naturlige form og funksjon på en skånsom måte. Vi bruker tannfarget komposittmateriale for å bygge opp tannen og tilpasse den til resten av smilet. Behandlingen er ofte smertefri, gir raske resultater og krever lite eller ingen sliping av den naturlige tannen.
Les mer om tannoppbygging.
Tannerstatninger – Naturlige broer, implantater og estetiske proteser
Mangler du én eller flere tenner? Kosmetiske tannerstatninger som broer, implantater eller tannfargede proteser gir deg smilet tilbake – uten at det ser kunstig ut. Vi legger stor vekt på naturlig estetikk, slik at både farge, form og plassering harmonerer med resten av tennene dine. Resultatet er både funksjonelt og vakkert – slik at du kan smile med selvtillit igjen.
Les mer om kunstig tannerstatning.
Bildet viser tenner behandlet med Invisalign korttidstannregulering.
Slik behandler vi estetiske behov hos Kolbotn Tannklinikk
Hos Kolbotn Tannklinikk kombinerer vi estetikk og tannhelse for å skape smil som både ser naturlige ut og føles trygge. Før vi starter en behandling, tar vi oss tid til å forstå dine ønsker og behov, og vi lager en skreddersydd plan som kan inkludere alt fra tannbleking og Airflow til korttidstannregulering, oppbygging eller estetiske tannerstatninger. Vi benytter moderne teknologi og dokumenterte materialer for å sikre høy presisjon og et varig resultat. Hele prosessen skjer i trygge og rolige omgivelser, og vi forklarer hvert steg underveis slik at du alltid føler deg ivaretatt. Vårt mål er å gi deg et smil du kan være stolt av – med en opplevelse som føles komfortabel, trygg og forutsigbar.
TEKSTFORFATTER
Tannlege Jasdeep Ohri
Har du noen spørsmål om temaet? Trykk her for å sende en epost til tekstforfatteren.
Innholdsfortegnelse
Alt du trenger å vite om tannrøntgen
- Estetisk tannbehandling
- Behandlinger
- Slik behandler vi estetiske behov hos Kolbotn Tannklinikk
- Tannlegeskrekk ved estetisk tannbehandling
- Møt våre tannleger
- Derfor er vi best på estetisk tannbehandling
- Dokumentert erfaring
- Hvorfor Kolbotn Tannklinikk er førstevalget for estetisk tannpleie
- Relaterte behandlinger til estetisk tannpleie
- Ofte stilte spørsmål om estetisk tannbehandling
- Mer om estetisk tannbehandling
- Informasjonskilder om estetisk og kosmetisk tannbehandling
Bestill time
"*" obligatorisk felt
Tannlegeskrekk ved estetisk tannbehandling – Slik gjør vi opplevelsen trygg og komfortabel
Mange som ønsker estetisk tannbehandling, kvier seg for å ta det første steget på grunn av tannlegeskrekk eller tidligere ubehagelige erfaringer.
Hos Kolbotn Tannklinikk forstår vi disse følelsene godt, og vi legger stor vekt på å skape en trygg, rolig og forutsigbar opplevelse fra første stund. Vi tar oss tid til å forklare hvert steg i behandlingen, slik at du alltid vet hva som skjer, og vi tilpasser tempoet etter dine behov. Våre behandlinger – fra tannbleking og korttidstannregulering til kosmetisk oppbygging og tannerstatninger – utføres med moderne, skånsomme teknikker som minimerer ubehag.
I våre lyse og rolige klinikklokaler, ofte omtalt som et lite #tannspa, kan du slappe av mens vi hjelper deg å oppnå et naturlig og vakkert smil. Med vår kombinasjon av høy faglig kompetanse, empati og omsorg, gjør vi estetisk tannbehandling til en positiv opplevelse – også for deg som har tannlegeskrekk.
Les mer om tannlegeskrekk.
Møt våre tannleger – Eksperter på estetisk tannbehandling
- Lavest pris
- Sertifisert til å ta røntgen tannbilde og OPG Panoramarøntgen
- Lavest pris
- Sertifisert til å ta røntgen tannbilde og OPG Panoramarøntgen
- 22år + i erfaring
- Høyere prisklasse
- Sertifisert til å ta røntgen tannbilde, OPG Panoramarøntgen og CBCT 3D-røntgen
Les mer om våre tannleger
Junior vs. senior tannlege – Hva passer best for deg?
Junior tannlege er våre tannleger som har mindre enn 12 år med erfaring. Disse tannlegene vil ofte være bedre oppdatert faglig, på et generelt grunnlag, og kunne utføre de fleste behandlinger innen rimelig tid.
Våre seniortannleger har mer enn 12 år i erfaring og jobber både raskere og mer effektiv. Disse tannlegene har lang erfaring og er ofte mer kompetent til å kunne håndtere kompliserte problemstillinger og behandlinger. Det er ikke uvanlig at en seniortannlege over årene utvikler større interesse, mer erfaring og derav bedre kompetanse innenfor enkelte type behandlinger fremfor andre.
Junior tannlege Anna Haugen
Tannlege Anna Haugen er vår nyeste tannlege. Hun tok sin utdanning i Polen og har allerede i en alder av 26 år oppnådd mye innenfor faget. Som tannlege er Anna både målrettet, strukturert, dedikert og ambisiøs. På fritiden er hun svært familieorientert og verdsetter tid med familien, samt liker å holde seg aktiv på treningssenteret. Vi er sikre på hennes lidenskap for yrket og varme personlighet vil gjøre henne til et verdifullt tillegg til teamet vårt.
Junior tannlege Uzma Shabir
Uzma er også blant våre nye tannleger. Uzma tok sin tannlegeutdanning ved Universitet i Oslo og begynte hos oss i 2023. Som tannlege oppleves Uzma som rolig og behagelig i sin opptreden, noe som gjør at pasienter føler seg godt ivaretatt. Uzma har et øye for estetikk og liker å jobbe med estetisk tannbehandling i tillegg til ordinær tannbehandling. På fritiden er Uzma opptatt av mote, sosialt samvær og nye opplevelser.
Senior tannlege Jasdeep Ohri
Jasdeep er vår mest erfarne og anerkjente tannlege. Jasdeep gjennomførte sine grunnleggende tannlegestudier i Oslo men i senere tid reist mye til USA for å øke sin faglige kompetanse. Jasdeep er blitt sitert som en av de beste tannlegene i Norge, noe som skyldes hans evne til å integrere ny og innovativ teknologi i sitt arbeid samtidig som han klarer å vise pasienter den omsorg og trygghet de trenger.
Les om våre tannleger på Kolbotn.
Derfor er vi best på estetisk tannbehandling i Kolbotn og Follo
Hva koster estetisk tannbehandling? Våre konkurransedyktige priser
Pris på estetisk tannbehandling vil variere ut ifra valgt løsning, behandlingsbehov (skadeomfang/vanskelighetsgrad), behandlerkompetanse (kunnskap/erfaring) og tidsbruk. I tillegg kan det være behov for forberedende behandling og andre tiltak som vil koste ekstra, eksempelvis forundersøkelse/kartlegging, røntgenbilde, fotobilder, etterkontroll/oppfølging og mer.
- Hygienetillegg, per hver seanse – fra 195kr
- Røntgenbilde – fra 166kr
- Konsultasjon (samtale eller kort undersøkelse av én problemstilling) – fra 390kr
- Generell undersøkelse (statusrapport), inkludert 2 røntgenbilder, puss og rens – fra 1092kr
- Generell undersøkelse (statusrapport), inkludert 4 røntgenbilder, puss og rens – fra 1209kr
Prisene over er ved behandling hos vår junior tannlege. Våre junior tannleger vil kunne tilby deg den rimeligste prisen, men behandling vil kunne ta lengre tid. En senior tannlege har mer erfaring, bruker mindre tid og koster mer. Se vår prisliste.
Studentabatt
I tillegg tilbyr vi 15% studentrabatt.
Økonomisk hjelp
Helfo støtte
Ved enkelte diagnoser vil Helfo dekker deler av behandlingen og prisen derfor reduseres. For mer informasjon besøk Helfo.
Delbetalingsordning
Vi tilbyr delbetaling via Resursbank. Les mer om Resursbank.
Vår prisliste
For mer informasjon om våre priser, se vår prisliste.
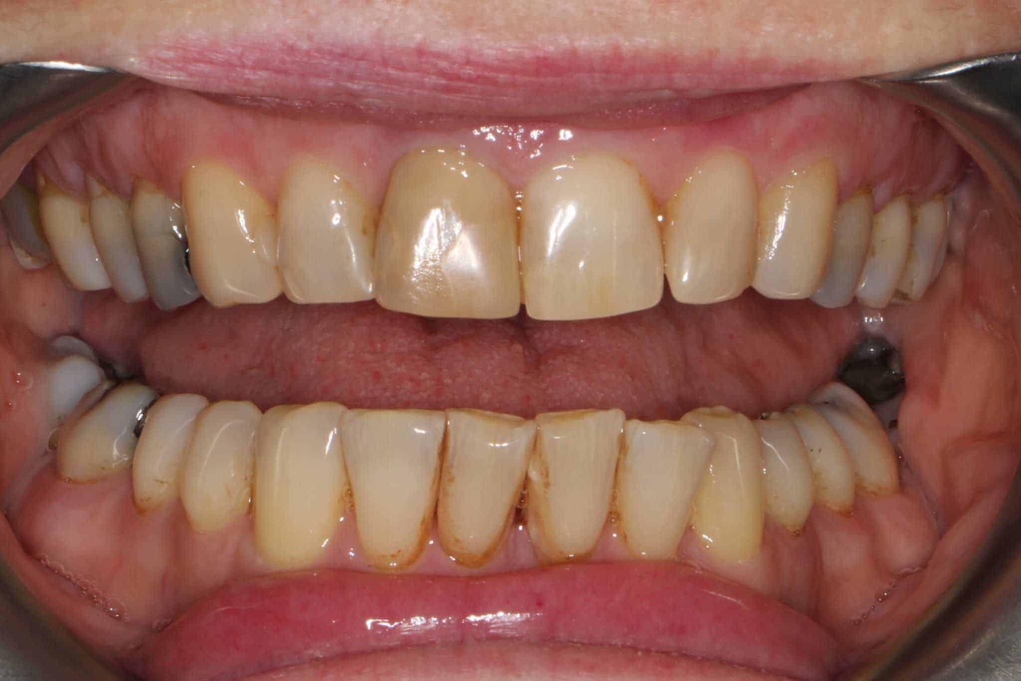
Dokumentert erfaring – Mange før/etter-bilder
Bildet viser utskiftning av gamle fortannsfyllinger.
Bildet viser en estetisk oppbygging av fortenner etter skade.
Bildet viser en fortann som ble fjernet og erstattet med implantat.
Bildet viser før og etter behandling der flere tenner ble erstattet med implantater.
Flere bilder
Hvorfor Kolbotn Tannklinikk er førstevalget for estetisk tannpleie
5/5 stjerner på Google – Topp vurdert av pasientene
Med over 415 strålende anmeldelser er vi blant Norges mest anbefalte tannklinikker. Pasientene fremhever vår presisjon, trygghet og evne til å levere naturlige, vakre resultater.
Laveste pris i Kolbotn og Follo
Vi tilbyr alt fra tannbleking til avansert estetisk rekonstruksjon til markedets mest konkurransedyktige priser – uten at det går på bekostning av kvalitet eller estetikk.
Langåpent – Behandling når det passer deg
Vi holder åpent til kl. 19 flere dager i uken, slik at du kan få utført behandlingen uten å måtte ta fri fra jobb eller endre hverdagsplanen din.
Spisskompetanse på estetiske behandlinger
Vårt team, ledet av seniortannlege Jasdeep Ohri med over 22 års erfaring, har omfattende kompetanse på estetiske behandlinger – fra diskrete justeringer til fullsmile-rekonstruksjoner.
Dokumenterte resultater – mange før/etter-bilder
Vi dokumenterer våre behandlinger grundig, slik at du kan se hva vi faktisk leverer. Våre før- og etterbilder viser tydelig hvordan vi kombinerer faglig presisjon med estetisk sans for å skape smil som ser naturlige ut.
Relaterte behandlinger til estetisk tannpleie – Se våre tilbud
Ofte stilte spørsmål om estetisk tannbehandling – Alt du trenger å vite
Støttes tannbleking av Helfo?
Tannbleking støttes ikke av helfo per idag.
Hvor lang tid tar det før man kan se resultatet?
Ved tannbleking begynner blekemiddelet å fungere med en gang. Ved hjemmebleking kan det være mulig å se endringer etter 2-3 dager. Siden endringene skjer gradvis opplever de fleste at det ikke er mulig å se forskjell fra dag til dag. De fleste oppnår best mulig resultat først etter 10 dager.
Ved klinikkbleking vil man kunne se resultat av bleking etter 45-60 minutter.
Hvor lenge varer resultatet og hvor ofte kan jeg bleke tennene?
Ofte varer resultatet fra tannbleking i flere år, avhengig av kostholds- og livsstilsvaner. De fleste velger å friske opp resultatet med en kort blekeperiode etter ett til to år.
Det er ingen begrensning på hvor ofte du kan bleke tennene, likevel anbefales det å ikke gjenta prosessen mer enn én gang i året.
Skader tannbleking tennene?
Det er ingen skade av å bleke tennene, så lenge tenner og tannkjøtt er frisk og i fin tilstand.
Hvor mye koster blekeskinner?
For rimeligst pris på blekeskinner se pris hos vår tannpleier.
Kan alle bleke tennene sine?
Minimumsalder for tannbleking er 18 år.
Gravide og ammende anbefales ikke å bleke tennene.
Er det trygt å bruke blekeskinner/blekemiddel kjøpt utenom tannklinikk?
Utilpassede blekeskinner som selges på apotek eller skjønnhetssalonger er ikke til å anbefale. Blekeskinner er ikke tilpasset, med stor fare for lekkasje av blekemiddel. Blekemiddelet som brukes i disse produktene er dessuten av svak konsentrasjon, og for å få godt resultat vil slike produkter måtte brukes i veldig lang tid.
Er det mulig å gjøre gule tenner hvite igjen?
Ja, det går an! Hvis tennene dine er naturlig litt gule, kan du få dem lysere i løpet av en til to uker ved å være nøye med tannpuss og bruk av tanntråd. Hvis gulfargen kommer fra ting som røyking, kaffe eller te, kan det ta litt lenger tid – vanligvis rundt tre til fire uker. Hvor raskt du ser resultater avhenger av hva som har gjort tennene gule, hvor dypt misfargingen sitter, og hvor lenge de har vært slik.
Hvorfor blir tennene gulere når man blir eldre?
Når man blir eldre, er det helt vanlig at tennene får en gulere farge. Dette skjer fordi emaljen, det ytterste laget på tennene, blir tynnere med årene. Da blir den naturlige gulfargen fra tannbeinet under mer synlig. I tillegg kan ting vi spiser og drikker, som kaffe, te, juice, rødvin og mat med sterke farger, gjøre tennene mørkere over tid. Etter mange år med dette kan tennene få en mer gulaktig tone.
Er det sant at man kan bruke bakepulver for å få hvitere tenner?
Noen sier at bakepulver kan gjøre tennene hvitere, og faktisk inneholder enkelte tannkremer med blekeeffekt dette stoffet. Men det er viktig å huske at emaljen beskytter tennene dine, så hvis du pusser for hardt eller bruker sterke midler, kan det skade mer enn det hjelper.
Kan tannkrem gjøre tennene hvitere?
Ifølge Forskning.no inneholder tannkremer med blekende effekt som selges i Norge små mengder slipemidler. Men mengden er så liten at den egentlig ikke har noen merkbar blekende effekt på tennene.
Bør man pusse tennene før tannbleking?
Ja, det er lurt å pusse tennene godt og bruke tanntråd før du starter tannblekingen. På den måten er tennene helt rene, og blekingen får best mulig effekt. Når du skal begynne, legger du en liten dråpe av blekemiddelet inni skinnen for hver tann som skal blekes, og setter deretter på skinnen. Behandlingen varer i 10 dager.
Hvem bør unngå tannbleking?
Tannbleking passer ikke for alle. Hvis du har store hull eller problemer med tannkjøttet, bør du vente med bleking til dette er behandlet. Har du misfarginger som skyldes medisinske årsaker, kan det også hende at tannbleking ikke vil gi det resultatet du ønsker.
Hva bør man passe på når man bleker tennene?
Det er lurt å holde seg unna mat og drikke som kan sette flekker på tennene etter bleking, som for eksempel rødvin, tomatsaus, rødbeter, kaffe og svart te. Disse inneholder stoffer som kan svekke effekten av blekingen. Hvis du røyker eller snuser, bør du prøve å unngå det så lenge som mulig etter behandlingen, siden det også kan påvirke resultatet negativt.
Mer om estetisk tannbehandling – Finn ut hva som passer for deg
Skullerud Tannlegesenter
Informasjonskilder om estetisk og kosmetisk tannbehandling
ingen tekst